ULTRASONOGRAFY
TE5
Point of Care
Priorytetowe dla lekarzy zapewnienie jak najlepszej opieki dla pacjenta jest możliwe dzięki narzędziom wpierającym podejmowanie szybkich i pewnych decyzji klinicznych.


Specjalne rozwiązanie do pionierskiej opieki
Dzięki inteligentnym narzędziom wspomagającym zarządzanie terapią płynową, funkcjom bezpiecznego wkłucia, możliwości całkowitej dezynfekcji i najwyższej jakości obrazowania, Mindray TE7 ACE został zaprojektowany do zastosowań w Anestezjologii, Intensywnej Terapii i ratownictwie. Urządzenie jest gotowe do użycia w każdej chwili. Jest intuicyjne i łatwe w obsłudze, dzięki czemu może pomóc lekarzom pewnie stawić czoła wszystkim wyzwaniom związanym z zapewnieniem wysokiej jakości usług medycznych. Po raz pierwszy, Mindray TE7 ACE jako aparat ultrasonograficzny może być bezproblemowo podłączony do sieci klinicznej razem z innymi urządzeniami.
Wstrząs
Ułatwia identyfikację rodzaju wstrząsu zgodnie z protokołami RUSH, FALLS i GDE.
Układ oddechowy
Pomaga ocenić ostrą niewydolność oddechową zgodnie z protokołem BLUE.
Urazy
Ułatwia znalezienie wolnego płynu w klatce piersiowej, osierdziu, jamie brzusznej i miednicy, aby pomóc wykonać badania FAST i eFAST.
01
eSpacial Navi: innowacja wskazująca drogę
02
iVocal – innowacyjna funkcja poleceń głosowych dla TE7 firmy Mindray
03
Obsługa dotykowa – prosta kontrola i zmiana ustawień poprzez dotyk

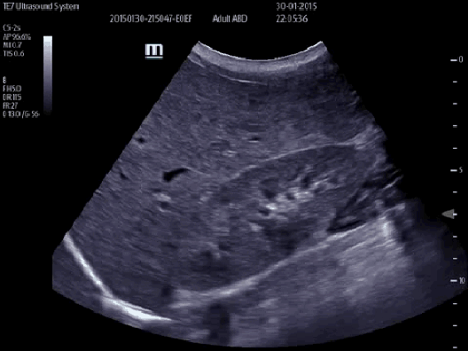
Obrazowanie kliniczne

Możliwość całkowitej dezynfekcji
MindrayTE7ACE spełnia najwyższe standardy dezynfekcji dzięki specjalnej konstrukcji, wysokiej odporności na środki chemiczne i szerokiemu zakresowi środków dezynfekujących jakie można zastosować. Gładki i nie porowaty ekran dotykowy można z łatwością dezynfekować, a funkcja 10-sekundowej blokady ekranu umożliwia czyszczenie nawet podczas badań.
Doskonałe połączenie danych
Rozwiązanie informatyczne Mindray eGateway łączy w sobie dane kliniczne pacjenta zebrane z urządzeń ultrasonograficznych i monitora pacjenta wpierając podejmowanie decyzji klinicznych. Informacje o badaniach pacjentów, zdjęcia i raporty mogą być przesyłane do systemu EMR.
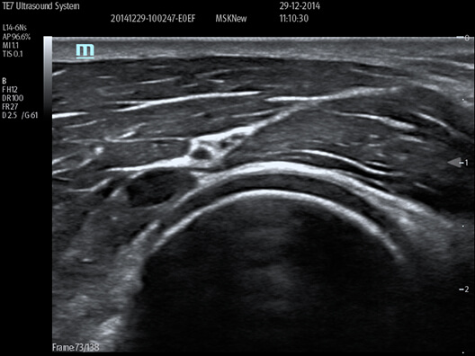
iNeedle
Dla głowic liniowych i convex dostępna jest funkcja zaawansowanej wizualizacji igły iNeedle. Technologia ta znacznie poprawia obraz igły podczas procedury In-Plane (kłucia w płaszczyźnie obrazowania).

Smart Track
Dzięki zastosowaniu inteligentnego wykrywania naczyń krwionośnych, aparat może automatycznie optymalizować obraz Kolorowego i Power Dopplera oraz położenie bramki i spektrum Dopplera PW, żeby zredukować powtarzalne i czasochłonne działania i uprościć badanie naczyń krwionośnych

iScanHelper
Wbudowane narzędzie edukacyjne dostarcza wskazówek dot. skanowania ultrasonograficznego, w tym ilustracji części anatomicznych, porównywanie standardowych ultrasonogramów, zdjęć referencyjnych i wskazówek dotyczących umiejętnego skanowania.

MedTouch
Aplikacja IOS/Android App, umożliwia zdalne sterowanie aparatem USG, dostęp do danych pacjenta oraz do wbudowanego samouczka.

Inteligentne zarządzanie płynami
TE7 ACE Zaawansowane narzędzia Smart IVC, Smart VTI i Smart B-line dostarczają więcej informacji diagnostycznych do dokładnego i efektywnego zarządzania w terapii płynowej, zapewniając personelowi klinicznemu większą pewność diagnostyczną i skupienie się na opiece nad pacjentem.
Smart IVC
Smart IVC automatycznie mierzy zapadalności żyły głównej dolnej i oblicza wskaźnik CI (Collapsibility Index) lub DI (Distensibility Index) oraz zmienność IVC, co pomaga w ocenie stanu nawodnienia pacjenta.

Smart VTI
Smart VTI automatycznie oblicza całkę prędkości przepływu w czasie (Velocity Time Integral), rzut minutowy serca (Cardiac Output) i zmienność objętości wyrzutowej (Stroke Volume Variation). Wykres trendów pomaga w efektywnym rejestrowaniu i prowadzeniu płynoterapii.

Smart B-line
Smart B-line automatycznie oblicza liczbę linii B, procent i odległość linii B. Zapewnia unikalną wizualną mapę wyników dla intuicyjnej oceny ogólnej ilości wody w płucach, prowadzenia infuzji płynów i zapobiegania obrzękowi płuc.

Jesteś zainteresowany?
Zachęcamy do kontaktu z naszym działem obsługi Klienta. Umówimy Cię na bezpłatną demonstrację systemu, lub doradzimy ultrasonograf, który będzie spełniał wszystkie Twoje oczekiwania.









