ULTRASONOGRAFY
TE9
Point of Care
Aparat ultrasonograficzny TE9 zaprojektowano tak, aby rozszerzyć możliwości diagnostyczne na oddziałach ratunkowych oraz intensywnej opieki. TE9 posiada wygodny i duży ekran dotykowy oraz zaawansowane funkcje, które wspierają diagnostykę. Inteligentne aplikacje kliniczne ułatwiają wykonywanie pomiarów, co pozwala sprawnie przeprowadzać badania i czynności nawet w dynamicznym środowisku pracy.


eSpacial Navi™: Technologia magnetycznej nawigacji igły 4D
eSpacial Navi™ to aplikacja zapewniająca doskonałą wizualizację i lokalizację igły podczas procedur in-plane oraz out-of-plane. Koniec igły i jej trajektoria są wizualizowane podczas procedur interwencyjnych, co wspiera lekarzy i bezpieczeństwo pacjentów.

iNeedle: Zaawansowana technologia wizualizacji igły
iNeedle zwiększa widoczność igły zachowując doskonałą jakość obrazu, nawet podczas wkłuć wykonywanych pod dużym kątem. Pozwala to Użytkownikom precyzyjnie lokalizować igłę w tkance i minimalizuje możliwość uszkodzenia okolicznych struktur.
Auto GA: Technologia oceny pracy żołądka
Funkcja Auto GA (Gastric Antrum) po dotknięciu ekranu automatycznie rozpoznaje jamę żołądka i oblicza jego obszar. Pomaga to w ocenie ilości treści pokarmowej w żołądku.
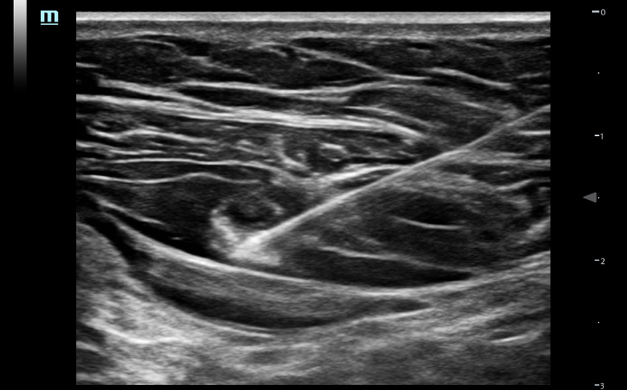
L12-3VNs: Wszechstronna sonda do zabiegów z użyciem igły
Wysoka rozdzielczość obrazowania nerwów, naczyń i tkanek miękkich
Innowacyjna nawigacja magnetyczna eSpacial Navi
Zintegrowane i programowalne przyciski
iVocal: Innowacyjna funkcja poleceń głosowych
Funkcja iVocal jest oparta na technologii rozpoznawania głosu i pozwala na zdalną kontrolę systemu za pomocą poleceń głosowych. Zwiększa to komfort użytkowania i optymalizuje ergonomię pracy oraz zabiegu.

Niezawodna łączność
Rozwiązanie sieciowe Mindray eGateway umożliwia łatwe połączenie systemu TE9 z siecią szpitalną i zintegrowanie danych klinicznych pacjenta zebranych z aparatu USG oraz monitora pacjenta. Dzięki temu można łatwo przyjmować pacjentów, a następnie przesyłać elektroniczną dokumentację medyczną do systemu EMR. Elektroniczny proces poprawia wydajność i produktywność, usprawnia przepływ pracy, a także zmniejsza ryzyko błędów przy przepisywaniu.

Rozwiązania dla oddziałów ratunkowych i intensywnej opieki
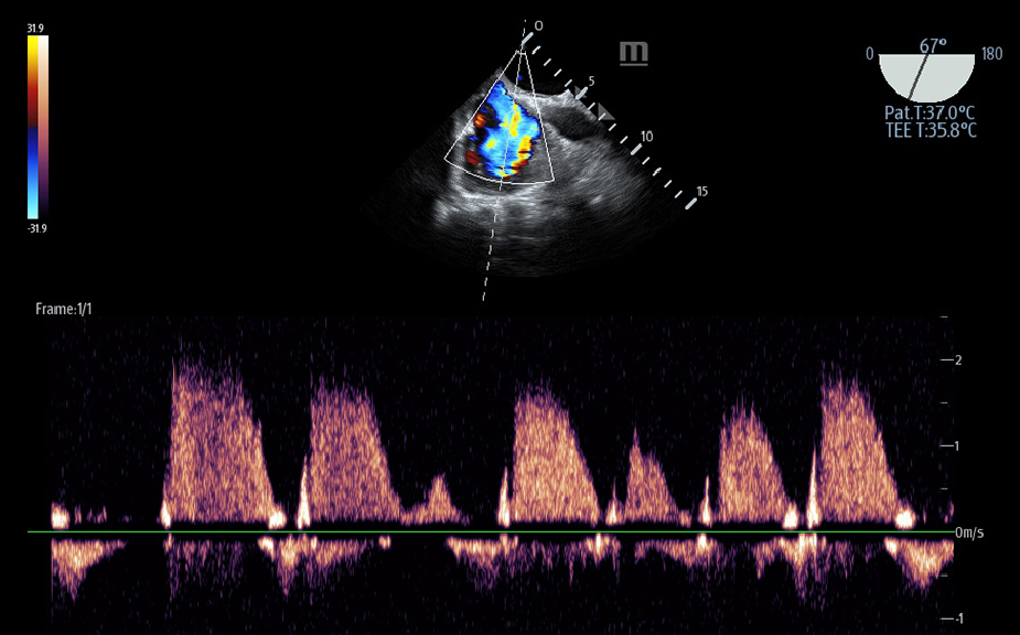
Smart VTI
Inteligentne zarządzanie płynami: Smart VTI
Automatyczne pomiary całki przepływu w czasie VTI i rzutu serca (CO) pozwalają na szybką ocenę jego pracy. Oprogramowanie automatycznie umieszcza we właściwym miejscu linię próbkowania Pulse Wave (PW). Wyświetlany jest wykres trendów parametrów CO, objętości wyrzutowej (SV) i VTI, aby rzetelnie pokazać stan pacjenta.

Smart IVC
Inteligentne zarządzanie płynami: Smart IVC
Automatyczny pomiar IVC pomaga ocenić nawodnienie pacjenta i ukierunkować terapię płynową. Wykres trendu dokumentuje zmiany wskaźnika zapadalności (CI) i wskaźnika rozszerzalności (DI) w celu udokumentowania w czasie reakcji na płynoterapię.

Smart B-Line
Inteligentne zarządzanie płynami: Smart B-line
Umożliwia szybką ocenę tkanki płuc poprzez automatyczne ustalanie liczby i procentu jaki zajmują linie B. Udostępnia również wizualną mapę punktacji aby ocena płuc była bardziej intuicyjna.

Smart FHR OB1
Smart FHR OB1: Pomiar i monitorowanie tętna płodu w pierwszym trymestrze ciąży
Automatyczne pomiary całki przepływu w czasie VTI i rzutu serca (CO) pozwalają na szybką ocenę jego pracy. Oprogramowanie automatycznie umieszcza we właściwym miejscu linię próbkowania Pulse Wave (PW). Wyświetlany jest wykres trendów parametrów CO, objętości wyrzutowej (SV) i VTI, aby rzetelnie pokazać stan pacjenta.

Jesteś zainteresowany?
Zachęcamy do kontaktu z naszym działem obsługi Klienta. Umówimy Cię na bezpłatną demonstrację systemu, lub doradzimy ultrasonograf, który będzie spełniał wszystkie Twoje oczekiwania.














